Book a Consultation
New York, USA
(718) 478-2852
Ver en Español
Dr. Moreano
Testimonials
Moreano Radio Show
Moreano World Medical Mission
Moreano World Mission Videos
Face
Facelift
Facelift Before and After Photos
Forehead and Brow Lift
Eyelid Surgery
Eyelid Surgery Before and After Photos
Otoplasty Ear Surgery in Queens, NYC
Otoplasty (Ear Surgery) Before and After Photos
Rhinoplasty
Rhinoplasty Before and After Photos
Body
Brazilian Butt Lift
Liposuction
Liposuction Before and After Photos
Vaser Liposculpture
Smartlipo
Abdominoplasty – Tummy Tuck
Tummy Tuck Before and After Photos
Skin Excision
Breast
Breast Augmentation
Breast Augmentation Before and After Photos
How to Find Your Bra Cup & Band Size
Breast Lift Surgery in Queens, NYC
Breast Reduction
Male Breast Reduction (Gynecomastia)
Laser
Cosmetic Treatments
Botox and Fillers
Skin Resurfacing
Vein Removal Treatments
Photo Gallery
News
Blog
Financing
Contact Us
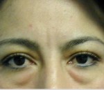
Eyelid Surgery: Before & After Photos
Edwin H. Moreano, MD
Conveniently located to serve Jackson Heights and Queens
Eyelid Surgery: Before & After Photos
Surgeries performed by Dr. Edwin Moreano, Board Certified Facial Plastic Surgeon and Cosmetic Surgeon Queens, NY.
Patient 13 of 24
Before
After
Previous Patient
Next Patient
Schedule Consultation
View Other Galleries
Individual Results May Vary
Listen to Dr. Moreano live on the radio to learn about the latest advances in plastic surgery!
Learn More
Get Directions
Schedule an Appointment
Δ
Get Directions